주요증상
- 걷거나 오래 서 있으면 무릎 안쪽이 콕콕 쑤심
- 처음엔 괜찮다가 조금만 걸어도 통증 발생
- 계단을 내려갈 때 특히 아픔
- 무릎 안쪽이 자주 붓거나 뻐근함
- 다리를 모아도 무릎 사이가 벌어짐
- O자 다리가 점점 심해지는 경우
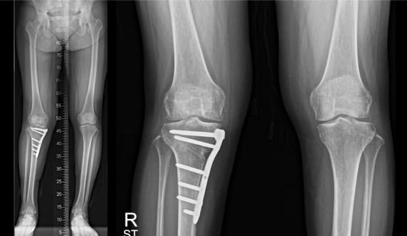
근위경골 절골술(휜다리 교정술)
High Tibial Osteotomy (HTO)무릎 아래 뼈인 경골(정강이뼈)의 윗부분(근위부)을 절골하여 다리 정렬을 바로잡는 무릎 교정 수술입니다.
무릎 안쪽 관절이 닳아 O자 다리 형태로 휘어 통증이 생기는 경우, 다리의 축을 바로잡아 무릎 안쪽의 하중을 줄여주는 교정 수술입니다.
O자 다리로 무릎 안쪽이 아픈 비교적 젊거나, 중년 층에서 인공관절 대신 다리축을 교정해 자기 관절을 오래 쓰게 돕는 수술입니다.
관절면과 평행하게 절골하여 각도를 교정
근위경골 절골술 교정 후
원인
다음과 같은 요인들이 관련 있을 수 있습니다.
무릎 안쪽에 체중이 과도하게 실리면서 통증과 관절 손상이 진행
O자 다리
다리가 바깥쪽으로 휘어 무릎 안쪽(내측)에 체중 집중
무릎 안쪽 관절염
연골 마모 → 뼈끼리 닿으며 통증 발생
반복적인 무릎 사용 및 하중
오래 서서 일하는 직업, 쪼그려 앉는 생활 습관, 등산, 달리기 등 반복적 충격
주요증상과 진단증상
어떤 증상이 나타날까요?주요증상
적응증 (누가 이 수술을 받는가)
환자 한 분 한 분에게 최선을 다합니다.
Yonsei Chun Yongmin Orthopaedic Surgery치료방법 및 치료법
정확한 진단을 통해 수술부터 재활까지 원스톱 케어를 진행합니다.수술적 치료
정강이 위쪽 뼈(경골 근위부)를 절골합니다.
약간 벌리거나 닫아서 다리축을 “일자에 가깝게” 교정해서 닳은 안쪽 무릎의 부담을 줄이고 통증 감소 및 기능 향상을 유도합니다.
절골한 부위는 금속판(plate)으로 고정합니다.
시간이 지나면 뼈가 붙습니다.
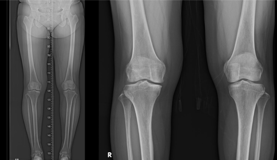
수술 전 환자의 상태
수술 후 1년

